FULL MOUTH REHABILITATION
Home
Service Details
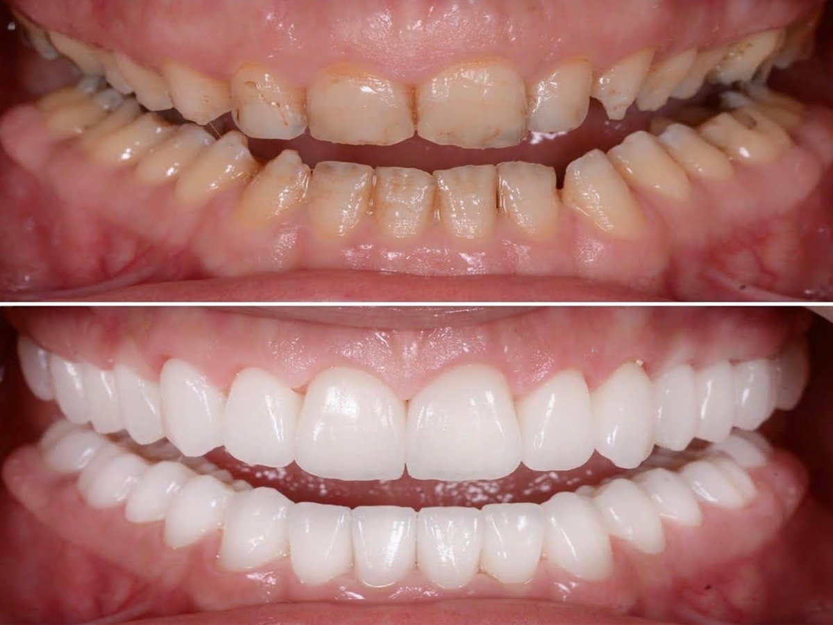
Full Mouth Rehabilitation at Facematic Aesthetics
Severely damaged, missing, or worn teeth can affect oral health, facial appearance, and overall quality of life. At Facematic Aesthetics, our Full Mouth Rehabilitation is a comprehensive dental treatment designed to restore function, aesthetics, and comfort of the entire mouth.
Full mouth rehabilitation involves rebuilding or replacing multiple teeth using advanced dental procedures to improve bite alignment, chewing ability, speech, and smile aesthetics. This personalised approach focuses on long-term oral health while creating a natural-looking and confident smile.
Common Dental Concerns Full Mouth Rehabilitation Helps With
• Multiple missing or damaged teeth
• Severely worn or broken teeth
• Bite problems and jaw discomfort
• Difficulty in chewing or speaking
• Old or failing dental restorations
• Gum disease with tooth loss
• Overall decline in oral function and aesthetics
Our Full Mouth Rehabilitation Treatment Approach
Every full mouth rehabilitation journey begins with a detailed dental, facial, and functional assessment to understand your oral health condition.
Based on your evaluation, the treatment plan may include one or a combination of:
• Comprehensive dental examination and digital planning
• Dental implants for missing teeth
• Crowns, bridges, or dentures
• Bite correction and jaw alignment therapy
• Gum treatments and oral health restoration
• Final aesthetic smile enhancement and maintenance guidance
Benefits of Full Mouth Rehabilitation
• Restored chewing and speaking ability
• Improved bite alignment and comfort
• Enhanced smile aesthetics
• Long-term oral health improvement
• Customised, comprehensive dental care
• Boosted confidence and quality of life
Who Is Full Mouth Rehabilitation Ideal For?
Full mouth rehabilitation is suitable for individuals who:
• Have multiple dental problems
• Experience difficulty in chewing or jaw pain
• Need extensive dental restoration
• Want functional and aesthetic improvement
• Are looking for a long-term dental solution
(Our experts will guide you through each phase of treatment for predictable and lasting results.)
Let’s plan your treatment
Consult our experts for personalised skin and hair care solutions.
Who Are Dental Implants Ideal For?
Dental implants are suitable for individuals who:
• Have one or more missing teeth
• Have healthy gums and sufficient bone support
• Want a permanent alternative to dentures
• Seek natural-looking dental restoration
• Can maintain good oral hygiene
(Our experts will guide you through implant options, timelines, and care for long-term success.)
